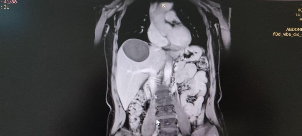
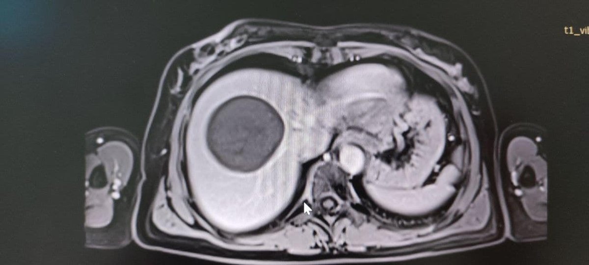
Хірургів медичної асоціації Володимира видаляли у пацієнта з печінкою, спричиненого паразитом ехінокока. Це захворювання, яке передається людям з тварин, переважно собак.
За словами прес-служби Vladimir TMO, 50-річна жінка розмовляла з лікарями з тиском та болем у правому іпохондрію. Лікарі діагностували її ехінококову кісту. Медична установа пояснює, що ехінококоз – це паразитарне захворювання, яке є функціональним фактором стрічкового хробака.
ЩоКіста паразитів у печінці нагадує амніотичний сечовий міхур, в якому дозріває личинки ехінокока. Рак поступово зростає і іноді досягає величезних розмірів (діаметром до 50 см)“, Сказаний У повідомленні. Фахівці Володимир TMO провів операцію та видалив кісту. В даний час у пацієнта все добре.
Прес -служба медичної установи опублікувала фотографію з операційної, але якщо це для вас неприйнятне, не дивіться на вас
У лікарні додається, що ехінококоз може захворіти на будь -кого, немає резистентності до цього захворювання. Хвора людина не становить загрози для людей навколо нього. Паразит передається людям із заражених тварин, частіше носіями ехінококів є собаки, і інфекція відбувається внаслідок не відповідності принципам особистої гігієни.
Особиста профілактика ехінококозу – обмежуючи контакт із собаками, ретельне миття рук перед їжею, не їсти немиті фрукти та ягоди.





